主页 > 知识库 > IBM人工智能预测你会不会精神分裂 还能通过声音判断情绪

IBM人工智能预测你会不会精神分裂 还能通过声音判断情绪

热门标签:电销机器人感受 上海电话400办理 天津河东企业400电话到哪申请 东莞400电话怎么办理 温州电话电销机器人供应商 电话机器人说明什么 乌鲁木齐语音外呼系统平台 沈阳防封电销机器人供应商 代理高德地图标注
  IBM的人工智能继续在健康领域实践探索。
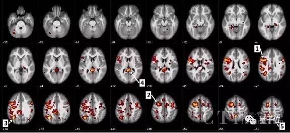
  最近,IBM和阿尔伯塔大学联手进行了一项开创性的研究,使用简单的MRI(磁共振成像)扫描加一个神经网络,就能通过大脑的血流情况,来诊断神经分裂是否会发病,以及症状的严重程度。
  这个研究团队,首先使用95份匿名fMRI(功能性磁共振成像)图片训练神经网络,这个数据集包括精神分裂患者和健康对照组。这些图片反映的是完成简单的音频联系后,脑内血液流动的情况。最后这个网络分辨患者和对照组的准确率达到74%。
  “我们已经在大脑中发现许多异常连接,未来会进行进一步的探索研究”,阿尔伯塔大学教授Serdar Dursun说,AI创建的模型得以让研究人员更进一步。
  这个模型还能预测症状的严重程度,而这可以用来制定更为有效的治疗方案。
  另外还有一件事,IBM今天还在沃森服务器中增加了一个新功能:Tone Analyzer for Customer Engagement,客户互动音调分析。
  这个功能可以通过检测人的声音,让人工智能可以检测出相应的情绪:沮丧、满足、兴奋、礼貌、悲伤、同情……等等。
  这个音调分析功能最初的训练,使用了Twitter的客服数据。未来IBM预计企业客户可以使用这个功能来监控客服对话,挺高服务质量。
  尤其是当你把客服中心放在印度的时候,客服专员可能无法很好的理解客户的语音,或者通话质量不是太好等等……而音调分析功能可以帮助客服判断来电客户的情绪,生气或沮丧,即便客服没有完全听懂客户到底在说些什么。
  至少能让客服采取更有针对性的回应方式。
  目前这个功能已经上线,并且提供免费试用的机会。

标签:玉林 济源 莆田 扬州 黔南 大兴安岭 克拉玛依 盐城

巨人网络通讯声明:本文标题《IBM人工智能预测你会不会精神分裂 还能通过声音判断情绪》,本文关键词  IBM,人工智能,预测,你,会不会,;如发现本文内容存在版权问题,烦请提供相关信息告之我们,我们将及时沟通与处理。本站内容系统采集于网络,涉及言论、版权与本站无关。
  • 相关文章
  • 下面列出与本文章《IBM人工智能预测你会不会精神分裂 还能通过声音判断情绪》相关的同类信息!
  • 本页收集关于IBM人工智能预测你会不会精神分裂 还能通过声音判断情绪的相关信息资讯供网民参考!
  • 推荐文章